診察のご予約
お問い合わせ
0120-4618-50
診療時間 月・火:9:00~18:00(昼休みなし) 木~土:9:00~17:00(昼休みなし)
休診日 水曜日、日曜日、祝日

大阪モノレール南摂津駅から徒歩3分の歯医者、さきがけ歯科クリニック

ホワイトニング症例

インターネット初診予約
インターネット問診票

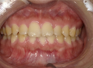
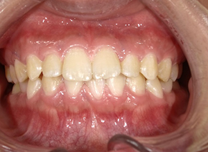
30代 女性 デュアルホワイトニング

年代・性別 30代・女性
治療回数 3回
治療期間 5か月
(ホワイトニング開始までの虫歯治療含む。)
メリット
  • 見た目が良くなる。
  • 事前に検査をするため、虫歯・歯周病の早期発見ができる。
デメリット
  • 食事制限がある。
  • 術後の個人差がある。
料金 ¥55,000(税込)
(オフィスホワイトニング)
特徴
  • 好みやライフスタイルに合わせてコース、種類が選択できる。
副作用 知覚過敏(個人差あり)

初診限定WEB予約はこちら

初診限定WEB予約はこちら

検診・歯石取り・歯のクリーニング・フッ素塗布などもご予約いただけます。3ヶ月先のご予約もお気軽にどうぞ。

0120-4618-50
06-6827-4618

患者様専用業者様はお電話なさらないようにお願いします。

診療時間

           
9:00~18:00
(昼休みなし)
9:00~17:00
(昼休みなし)

休診日:水曜日、日曜日、祝日

スタッフ募集中

スタッフ募集中

当院では一緒に成長しあえるメンバーを募集しています!

0120-4618-50
06-6827-4618

患者様専用業者様はお電話なさらないようにお願いします。

電話をかける