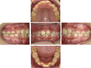
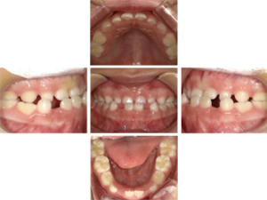
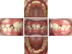
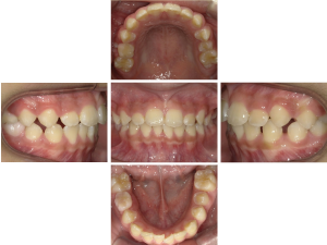
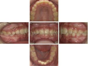
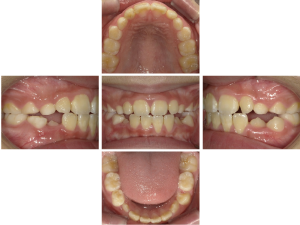
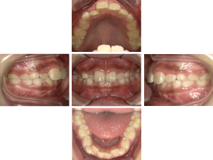
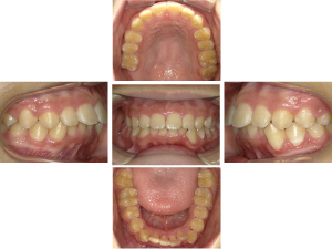
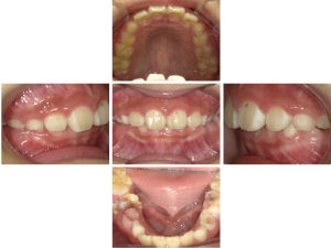
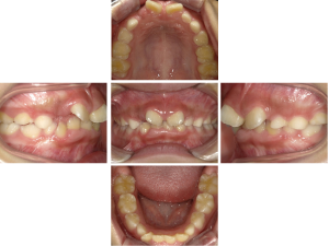
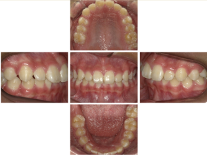
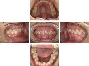
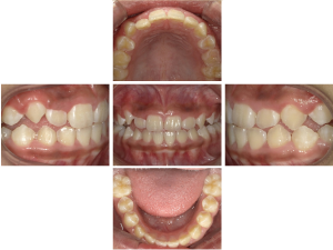
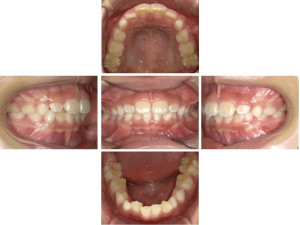
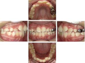
8歳 男の子 正中離開 MRC矯正
| 年代・性別 | 8歳・男の子 |
|---|---|
| 主訴 | 上の前歯の隙間を治したい(正中離開) |
| 部位 | 全顎 |
| 治療期間 | 約2年 |
| 費用 | 75,000円(税込82,500円) |
| 副作用・リスク |
|
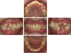
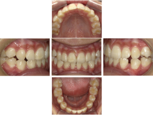
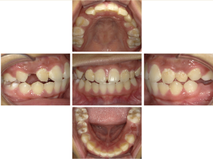
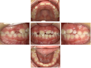
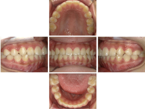
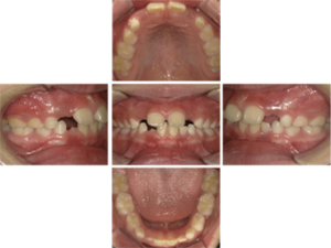
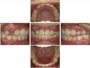
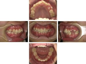
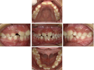
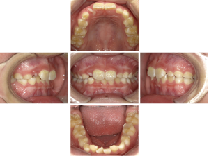
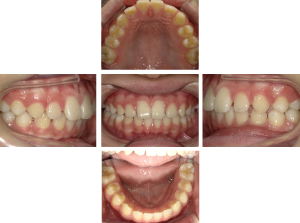
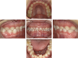
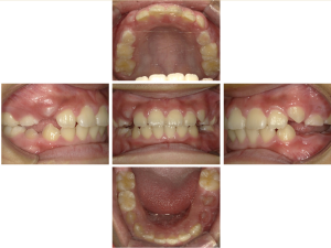
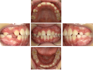
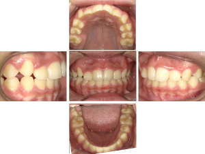
10歳 女の子 叢生 MRC矯正
| 年代・性別 | 10歳 女の子 |
|---|---|
| 主訴 | 歯並び気になる・治したい |
| 部位 | 全顎 |
| 治療期間 | 約2年 |
| 費用 | 75,000円(税込82,500円) |
| 副作用・リスク |
|
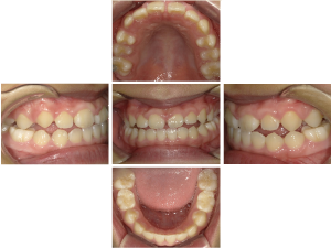
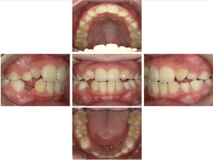
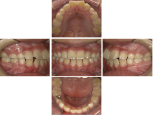
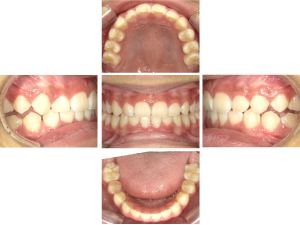
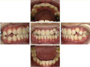
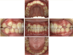
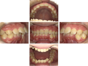
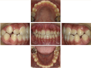
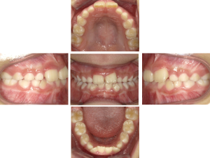
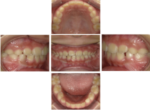
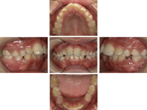
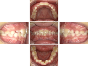
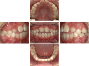
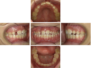
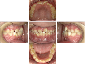
9歳 女の子 過蓋咬合+叢生 MRC矯正
| 年代・性別 | 9歳・女の子 |
|---|---|
| 主訴 | 嚙み合わせを治したい(過蓋咬合+叢生) |
| 部位 | 全顎 |
| 治療期間 | 約2年 |
| 費用 | 75,000円(税込82,500円) |
| 副作用・リスク |
|
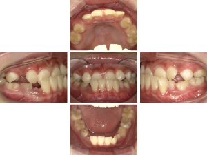
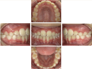
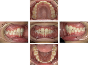
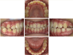
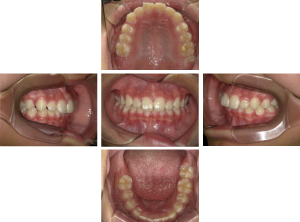
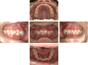
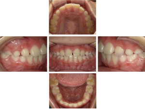
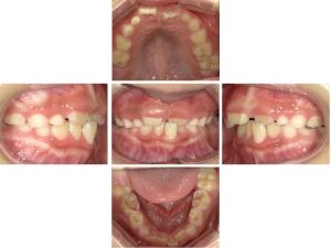
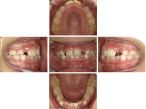
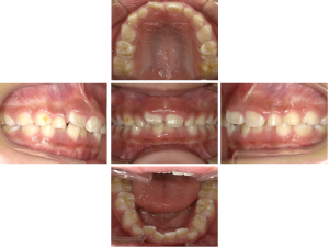
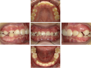
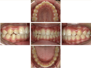
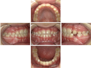
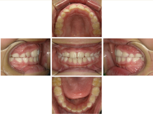
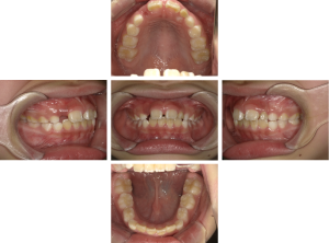
7歳 男の子 叢生 MRC矯正
| 年代・性別 | 7歳・男の子 |
|---|---|
| 主訴 | 下の歯のがたつき治したい |
| 部位 | 全顎 |
| 治療期間 | 約2年 |
| 費用 | 90,909円(税込100,000円) |
| 副作用・リスク |
|
6歳 男の子 叢生 MRC矯正
| 年代・性別 | 6歳・男の子 |
|---|---|
| 主訴 | 下の歯並びが気になる |
| 部位 | 全顎 |
| 治療期間 | 約2年 |
| 費用 | 75,000円(税込82,500円) |
| 副作用・リスク |
|
6歳 女の子 MRC矯正
| 年代・性別 | 6歳・女の子 |
|---|---|
| 主訴 | 上下の前歯の隙間が気になる(開咬) |
| 部位 | 全顎 |
| 治療期間 | 約2年 |
| 費用 | 75,000円(税込82,500円) |
| 副作用・リスク |
|
9歳 女の子 MRC矯正
| 年代・性別 | 9歳・女の子 |
|---|---|
| 主訴 | 歯並びが気になる。(叢生) |
| 部位 | 全顎 |
| 治療期間 | 約2年 |
| 費用 | 90,909円(税込100,000円) |
| 副作用・リスク |
|
6歳 男の子 MRC矯正
| 年代・性別 | 6歳・男の子 |
|---|---|
| 主訴 | 虫歯治療希望(上顎前突) |
| 部位 | 全顎 |
| 治療期間 | 約2年 |
| 費用 | 300,000円(税込330,000円) |
| 副作用・リスク |
|
9歳 女の子 MRC矯正
| 年代・性別 | 9歳・女の子 |
|---|---|
| 主訴 | 歯並びが気になる。(叢生) |
| 部位 | 全顎 |
| 治療期間 | 約2年 |
| 費用 | 75,000円(税込82,500円) |
| 副作用・リスク |
|
10歳 男の子 MRC矯正
| 年代・性別 | 10歳・男の子 |
|---|---|
| 主訴 | 過蓋咬合。発音が気になる。舌が常に出ている。 (過蓋咬合+叢生) |
| 部位 | 全顎 |
| 治療期間 | 約2年 |
| 費用 | 90,909(税込100,000円) |
| 副作用・リスク |
|
7歳 女の子 MRC矯正
| 年代・性別 | 7歳・女の子 |
|---|---|
| 主訴 | 歯並びが気になる。乳歯がぬけて歯の生えるスペースがない気がする。 (過蓋咬合) |
| 部位 | 全顎 |
| 治療期間 | 約2年 |
| 費用 | 330,000円(税込330,000円) |
| 副作用・リスク |
|
5歳 女の子 MRC矯正
| 年代・性別 | 5歳・女の子 |
|---|---|
| 主訴 | 受け口が気になる。(反対咬合) |
| 部位 | 全顎 |
| 治療期間 | 約2年 |
| 費用 | 75,000円(税込82,500円) |
| 副作用・リスク |
|
9歳 男の子 MRC矯正
| 年代・性別 | 9歳・男の子 |
|---|---|
| 主訴 | 歯並びが気になる (正中離開) |
| 部位 | 全顎 |
| 治療期間 | 約2年 |
| 費用 | 75,000円(税込82,500円) |
| 副作用・リスク |
|
7歳 男の子 MRC矯正
| 年代・性別 | 7歳・男の子 |
|---|---|
| 主訴 | 歯並びが気になる。口が小さいので歯が全部生えてくるか心配。 (正中離開+叢生) |
| 部位 | 全顎 |
| 治療期間 | 約2年 |
| 費用 | 75,000円(税込82,500円) |
| 副作用・リスク |
|
10歳 女の子 MRC矯正
| 年代・性別 | 10歳・女の子 |
|---|---|
| 主訴 | 歯並びが気になる。治したい。 |
| 部位 | 全顎 |
| 治療期間 | 約2年 |
| 費用 | 75,000円(税込82,500円) |
| 副作用・リスク |
|
11歳 男の子 MRC矯正
| 年代・性別 | 11歳・男の子 |
|---|---|
| 主訴 | 上顎前歯が出ている。下顎の歯が上の歯茎に当たっている。 (上顎前突) |
| 部位 | 全顎 |
| 治療期間 | 約2年 |
| 費用 | 75,000円(税込82,500円) |
| 副作用・リスク |
|
8歳 女の子 MRC矯正
| 年代・性別 | 8歳・女の子 |
|---|---|
| 主訴 | 下顎前歯の歯並びが色んな方向に向いて生えてきた (上顎前突) |
| 部位 | 全顎 |
| 治療期間 | 約2年 |
| 費用 | 75,000円(税込82,500円) |
| 副作用・リスク |
|
6歳 女の子 MRC矯正
| 年代・性別 | 6歳・女の子 |
|---|---|
| 主訴 | 受け口が気になる (反対咬合) |
| 部位 | 全顎 |
| 治療期間 | 約2年 |
| 費用 | 75,000円(税込82,500円) |
| 副作用・リスク |
|
8歳 女の子 MRC矯正
| 年代・性別 | 8歳・女の子 |
|---|---|
| 主訴 | 永久歯が生え始めてから、4番目の歯が引っ込んでいるとこが気になる。 (上顎前突+叢生) |
| 部位 | 全顎 |
| 治療期間 | 約2年 |
| 費用 | 75,000円(税込82,500円) |
| 副作用・リスク |
|
10歳 女の子 MRC矯正
| 年代・性別 | 10歳・女の子 |
|---|---|
| 主訴 | なし。MRCCsで興味を持ち開始(切端咬合) |
| 部位 | 全顎 |
| 治療期間 | 約2年 |
| 費用 | 75,000円(税込82,500円) |
| 副作用・リスク |
|
8歳 女の子 MRC矯正
| 年代・性別 | 8歳・女の子 |
|---|---|
| 主訴 | 前歯が出ている。永久歯の生えるスペースなさそう。 口呼吸もしている。(上顎前突) |
| 部位 | 全顎 |
| 治療期間 | 約2年 |
| 費用 | 75,000円(税込82,500円) |
| 副作用・リスク |
|
10歳 男の子 MRC矯正
| 年代・性別 | 10歳・男の子 |
|---|---|
| 主訴 | 反対咬合が気になる。 |
| 部位 | 全顎 |
| 治療期間 | 約2年 |
| 費用 | 75,000円(税込82,500円) |
| 副作用・リスク |
|
7歳 男の子 MRC矯正
| 年代・性別 | 7歳・男の子 |
|---|---|
| 主訴 | 下の歯のがたつきを治したい。 |
| 部位 | 全顎 |
| 治療期間 | 約2年 |
| 費用 | 90,909円(税込100,000円) |
| 副作用・リスク |
|
9歳 女の子 MRC矯正
| 年代・性別 | 9歳・女の子 |
|---|---|
| 主訴 | 歯並びが気になる。口が開いているのが気になる。 他DCで拡大床を勧められたが、カチカチするのが面倒、嫌だった。(叢生) |
| 部位 | 全顎 |
| 治療期間 | 約2年 |
| 費用 | 90,909円(税込100,000円) |
| 副作用・リスク |
|
8歳 男の子 MRC矯正
| 年代・性別 | 8歳・男の子 |
|---|---|
| 主訴 | 歯並びが気になる。下顎前歯の永久歯が変な所から生えてきた。 (叢生+過蓋咬合) |
| 部位 | 全顎 |
| 治療期間 | 約2年 |
| 費用 | 90,909円(税込100,000円) |
| 副作用・リスク |
|
7歳 女の子 MRC矯正
| 年代・性別 | 7歳・女の子 |
|---|---|
| 主訴 | 全体的に歯並びが気になる(叢生) |
| 部位 | 全顎 |
| 治療期間 | 約2年 |
| 費用 | 90,909円(税込100,000円) |
| 副作用・リスク |
|
7歳 男の子 MRC矯正
| 年代・性別 | 7歳・男の子 |
|---|---|
| 主訴 | 上の前歯、下の側切歯の歯並びが気になる。 (上顎前突+叢生) |
| 部位 | 全顎 |
| 治療期間 | 約2年 |
| 費用 | 300,000円(税込330,000円) |
| 副作用・リスク |
|
9歳 男の子 MRC矯正
| 年代・性別 | 9歳・男の子 |
|---|---|
| 主訴 | 歯並びが気になる。ワイヤー矯正以外希望。(叢生) |
| 部位 | 全顎 |
| 治療期間 | 約2年 |
| 費用 | 300,000円(税込330,000円) |
| 副作用・リスク |
|
6歳 女の子 MRC矯正
| 年代・性別 | 6歳・女の子 |
|---|---|
| 主訴 | 叢生が気になる。(叢生) |
| 部位 | 全顎 |
| 治療期間 | 約2年 |
| 費用 | 75,000円(税込82,500円) |
| 副作用・リスク |
|
6歳 男の子 MRC矯正
| 年代・性別 | 6歳・男の子 |
|---|---|
| 主訴 | 下の歯並びが気になる |
| 部位 | 全顎 |
| 治療期間 | 約2年 |
| 費用 | 75,000円(税込82,500円) |
| 副作用・リスク |
|
7歳 男の子 MRC矯正
| 年代・性別 | 7歳・男の子 |
|---|---|
| 主訴 | 下顎前歯永久歯萌出してきたが乳歯ぬけない(上顎前突) |
| 部位 | 全顎 |
| 治療期間 | 約2年 |
| 費用 | 75,000円(税込82,500円) |
| 副作用・リスク |
|
9歳 女の子 MRC矯正
| 年代・性別 | 9歳・女の子 |
|---|---|
| 主訴 | 嚙み合わせを治したい。(過蓋咬合+叢生) |
| 部位 | 全顎 |
| 治療期間 | 約2年 |
| 費用 | 75,000円(税込82,500円) |
| 副作用・リスク |
|
5歳 女の子 MRC矯正
| 年代・性別 | 5歳・女の子 |
|---|---|
| 主訴 | Drにガタガタと言われたから。(叢生) |
| 部位 | 全顎 |
| 治療期間 | 約2年 |
| 費用 | 75,000円(税込82,500円) |
| 副作用・リスク |
|
8歳 男の子 MRC矯正
| 年代・性別 | 8歳・男の子 |
|---|---|
| 主訴 | 上の前歯の隙間を治したい(正中離開) |
| 部位 | 全顎 |
| 治療期間 | 約2年 |
| 費用 | 75,000円(税込82,500円) |
| 副作用・リスク |
|
8歳 女の子 MRC矯正
| 年代・性別 | 8歳・女の子 |
|---|---|
| 主訴 | 乳歯抜けない歯がある。永久歯違う方向に生えてきたので気になる。(上顎前突) |
| 部位 | 全顎 |
| 治療期間 | 約2年 |
| 費用 | 75,000円(税込82,500円) |
| 副作用・リスク |
|
5歳 男の子 MRC矯正
| 年代・性別 | 5歳・男の子 |
|---|---|
| 主訴 | 上の前歯が傾斜して生えてきた(反対咬合+叢生) |
| 部位 | 全顎 |
| 治療期間 | 約2年 |
| 費用 | 90,909円(税込100,000円) |
| 副作用・リスク |
|
11歳 男の子 MRC矯正
| 年代・性別 | 11歳・男の子 |
|---|---|
| 主訴 | 家系が歯並び悪いので、将来歯並びが悪くなりそうで怖い。 |
| 部位 | 全顎 |
| 治療期間 | 約2年 |
| 費用 | 75,000円(税込82,500円) |
| 副作用・リスク |
|
8歳 女の子 MRC矯正
| 年代・性別 | 8歳・女の子 |
|---|---|
| 主訴 | 下顎の歯並びが気になる。(叢生) |
| 部位 | 全顎 |
| 治療期間 | 約2年 |
| 費用 | 75,000円(税込82,500円) |
| 副作用・リスク |
|
8歳 男の子 MRC矯正
| 年代・性別 | 8歳・男の子 |
|---|---|
| 主訴 | 下顎の歯並びが気になる。(叢生) |
| 部位 | 全顎 |
| 治療期間 | 約2年 |
| 費用 | 75,000円(税込82,500円) |
| 副作用・リスク |
|
8歳 女の子 MRC矯正
| 年代・性別 | 8歳・女の子 |
|---|---|
| 主訴 | 下の前歯がガタガタしているので、治したい。(叢生) |
| 部位 | 全顎 |
| 治療期間 | 約2年 |
| 費用 | 300,000円(税込330,000円) |
| 副作用・リスク |
|
7歳 男の子 MRC矯正
| 年代・性別 | 7歳・男の子 |
|---|---|
| 主訴 | 歯並び・咬み合わせが気になるので矯正したい。(叢生) |
| 部位 | 全顎 |
| 治療期間 | 約2年 |
| 費用 | 300,000円(税込330,000円) |
| 副作用・リスク |
|
8歳 女の子 MRC矯正
| 年代・性別 | 8歳・女の子 |
|---|---|
| 主訴 | 受け口が気になる。(叢生) |
| 部位 | 全顎 |
| 治療期間 | 約2年 |
| 費用 | 300,000円(税込330,000円) |
| 副作用・リスク |
|
9歳 男の子 MRC矯正
| 年代・性別 | 9歳・男の子 |
|---|---|
| 主訴 | 上の前歯の歯並びと受け口を治したい。(叢生) |
| 部位 | 全顎 |
| 治療期間 | 約2年 |
| 費用 | 300,000円(税込330,000円) |
| 副作用・リスク |
|



