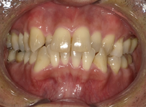
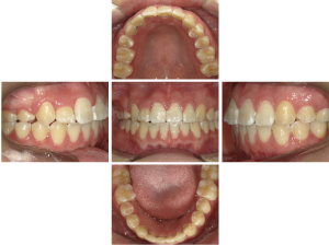
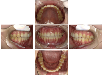
40代 男性 成人ブラケット矯正
| 年代・性別 | 40代・男性 |
|---|---|
| 治療回数 | 約40回 (矯正治療開始後、3~4週間毎に調整で来院。) |
| 治療期間 | 2年9か月 |
| メリット |
|
| デメリット |
|
| 料金 | 矯正検査¥35,000(税込) 矯正装置料¥600,000(税込) 調整料¥5,500(税込) 保定装置料¥30,000(税込) 矯正治療に伴う抜歯(1歯につき) |
| 特徴 |
|
| 副作用 | 矯正装置が当たり、頬の内側に傷がついたり口内炎ができる可能性があります。 矯正装置を装着した直後や、ワイヤーを交換した直後には痛みを感じることがあります。 |
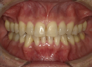
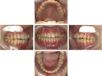
20代 女性 インビザライン矯正
| 年代・性別 | 20代・女性 |
|---|---|
| 主訴 | 既に他クリニックで(ブラケット)矯正終了したが、上下の咬み合わせが良くないため、再治療希望。 |
| 部位 | 全体 |
| 治療期間 | 約2年 |
| 費用 | ¥790,000(税込) |
| 副作用・リスク |
|
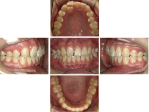
10代 女性 ブラケット矯正
| 年代・性別 | 10代・女性 |
|---|---|
| 主訴 | 右上2、3が重なってるところが気になる。 上顎1、1の間の隙間が気になる。 |
| 部位 | 全顎 |
| 治療期間 | 約3年 |
| 費用 | ¥840,000(税込) |
| 副作用・リスク |
|



