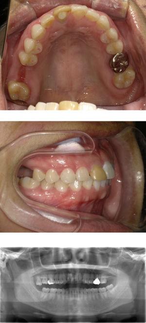
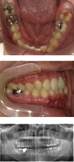
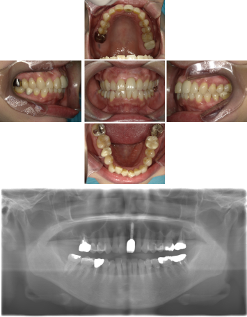
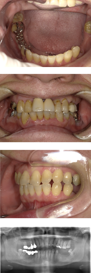
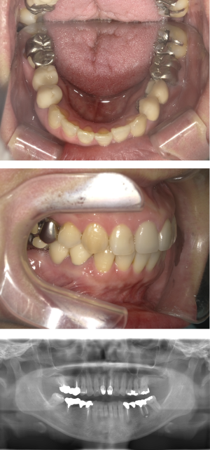
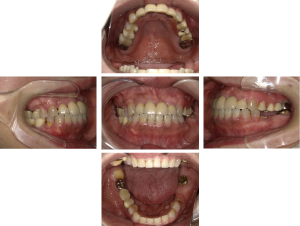
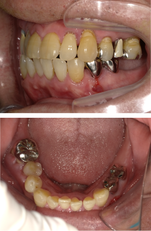
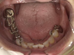
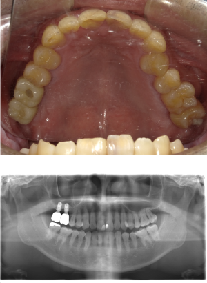
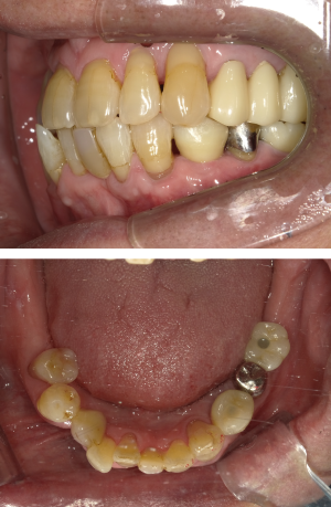
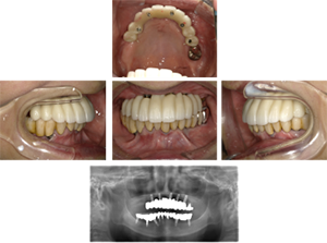
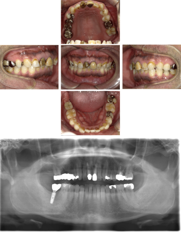
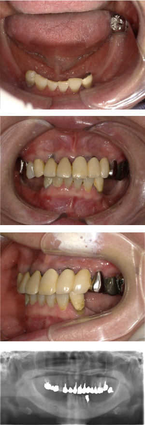
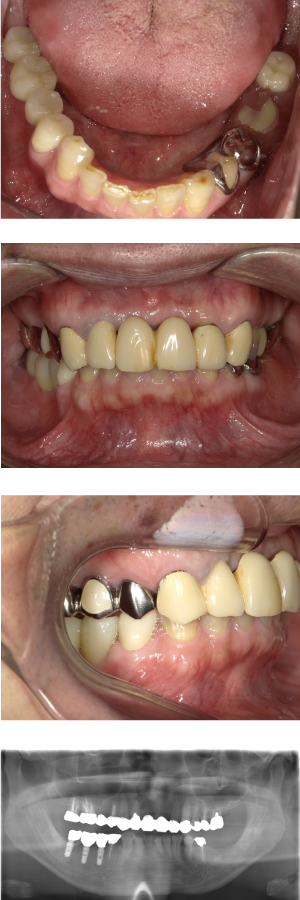
30代 女性 奥歯 インプラントGBR
| 年代・性別 | 30代・女性 |
|---|---|
| 治療回数 | 1回 ※術前治療・検査除く |
| 治療期間 | 5ヶ月 |
| メリット |
|
| デメリット |
|
| 料金 | ¥60,000(税込) |
| 特徴 |
GBR(Guided Bone Regeneration:骨再生誘導法)とは、インプラント治療において、骨の厚みや高さが足りない場合に行う歯槽骨を再生する方法です。骨量不足の患者様でも、骨造成を行うことでインプラントの埋入に必要な骨の高さや厚みが得られます。 GBR(再生誘導法)は、骨が痩せて十分な骨量が確保できない患者様に、骨の再生によってインプラントの埋入を可能にする治療方法の一つです そのような骨が欠損した部分では、骨を作る「骨芽細胞」よりも、骨にならない「線維芽細胞」の方が増殖しやすいという特徴があります。そのためGBRでは、骨形成の妨げになる繊維芽細胞の侵入を防ぐため、骨を増やしたい部分を「メンブレン」という人工膜で覆い、その中に自家骨や人工の骨補填材を詰めて骨芽細胞の増殖を促します。 |
| 副作用 | 術後に腫れ・痛みが出る可能性がある。 |
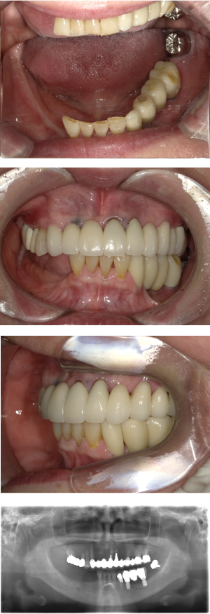
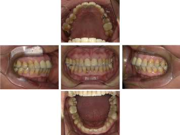
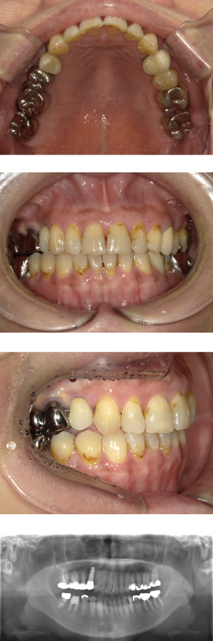
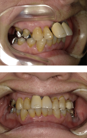
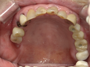
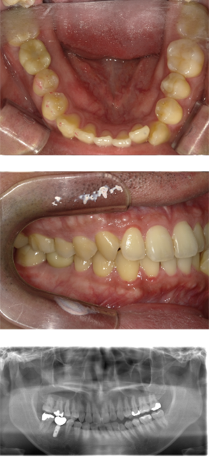
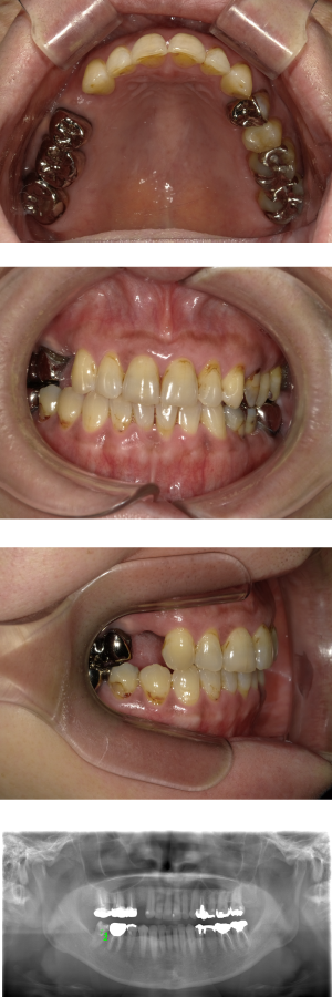
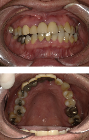
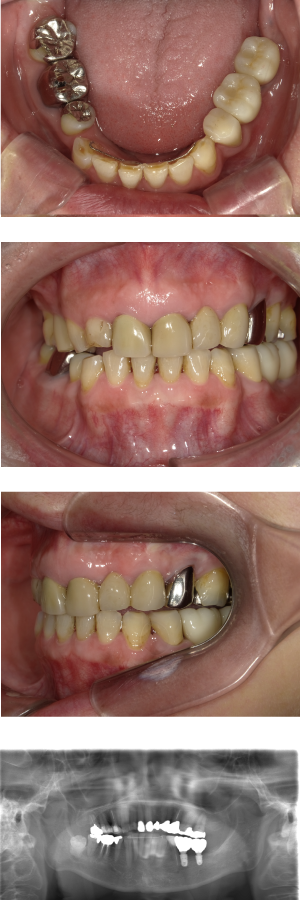
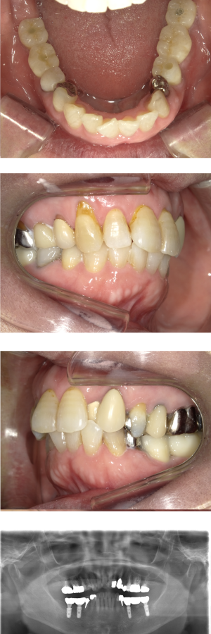
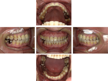
30代 女性 奥歯 インプラント
| 年代・性別 | 30代・女性 |
|---|---|
| 治療回数 | 10回(術前治療・検査除く) |
| 治療期間 | 約1年 |
| メリット |
|
| デメリット |
|
| 料金 | ¥410,300(税込)※別途検査料 |
| 特徴 |
失った歯を補うために、インプラント治療は優れた治療方法です。 しかし、全ての人にインプラント治療が優れている治療ではありません。 |
| 副作用 | 術後に腫れ・痛みが出る可能性がある。 |
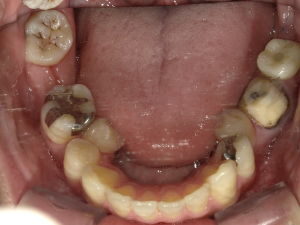
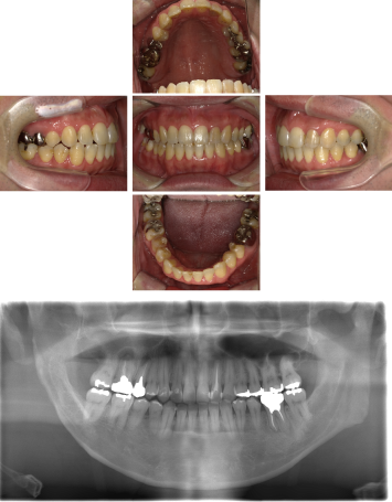
50代 女性 奥歯 インプラント ソケットリフト
| 年代・性別 | 50代・女性 |
|---|---|
| 主訴 | むし歯で右上を抜歯した後、左ばかりで咬むようになったので、右で咬めるようになりたい。 |
| 部位 | 右上6 |
| 治療期間 | 約1年 |
| 費用 | ¥432,000(税込) |
| 副作用・リスク |
|
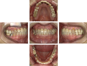
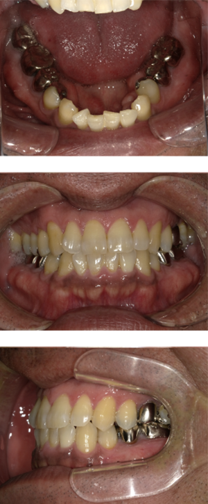
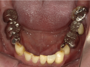
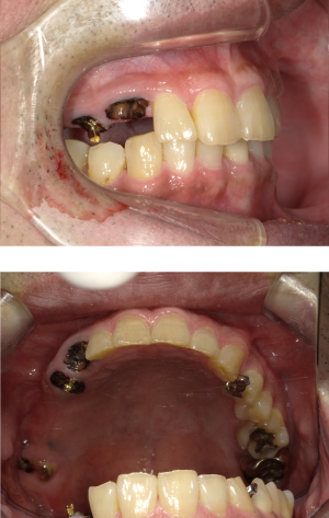
60代 女性 全顎 インプラント サイナスリフト等
| 年代・性別 | 60代・女性 |
|---|---|
| 主訴 | 上顎の入れ歯が割れた。リンゴやおかきを食べられるようになりたい。 |
| 部位 | 右上④3②・左上②3④5⑥のブリッジ |
| 治療期間 | 2年 |
| 費用 | ¥2,447,500(税込) |
| 副作用・リスク |
|
50代 女性 前歯 インプラント抜歯即時・GBR
| 年代・性別 | 50代・女性 |
|---|---|
| 主訴 | 歯の根っこが折れているため、抜歯が必要になり、その後インプラント治療を希望された。 |
| 部位 | 左上1 |
| 治療期間 | 8ヶ月 |
| 費用 | ¥484,000(税込) |
| 副作用・リスク |
|
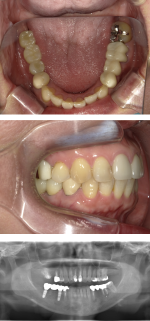
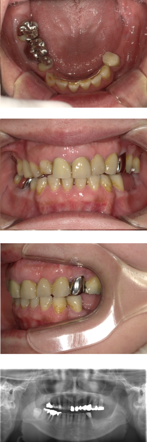
70代 男性 インプラント治療(GBR)
| 年代・性別 | 70代・男性 |
|---|---|
| 主訴 | 抜歯適応になってしまった所にインプラント治療希望。 |
| 部位 | 左下4・6 |
| 治療期間 | 約7ヶ月 |
| 費用 | ¥912,500(税込) |
| 副作用・リスク |
|
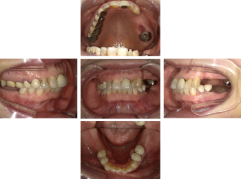
50代 女性 インプラント治療(GBR・ソケットリフト)
| 年代・性別 | 50代・女性 |
|---|---|
| 主訴 | Brの歯が取れそうなため、インプラントに変えたい。 |
| 部位 | 左下567 左上④5⑥ 右上67 |
| 治療期間 | 約3年9ヶ月 |
| 費用 | ¥3,224,500(税込) |
| 副作用・リスク |
|
40代 女性 インプラント治療
| 年代・性別 | 40代・女性 |
|---|---|
| 主訴 | 入れ歯を使用した事があるが、違和感が強かったので、見た目も噛み心地も良いインプラントにしたい。 |
| 部位 | 右上7 |
| 治療期間 | 約7ヶ月 |
| 費用 | ¥357,500(税込) |
| 副作用・リスク |
|
60代 男性 インプラント治療
| 年代・性別 | 60代・男性 |
|---|---|
| 主訴 | 健全な歯に負担をかけない治療をしたい。 |
| 部位 | 右上1左上1 |
| 治療期間 | 約1年3ヶ月 |
| 費用 | ¥686,000(税込) |
| 副作用・リスク |
|
40代 女性 インプラント治療
| 年代・性別 | 40代・女性 |
|---|---|
| 主訴 | EXT適応の左下にインプラント治療希望。 この際欠損補綴の右下6もBrを除去し、インプラントにしたい。 |
| 部位 | 右下6・左下7 |
| 治療期間 | 約11ヶ月 |
| 費用 | ¥823,900(税込) |
| 副作用・リスク |
|
70代 男性 インプラント治療(GBR)
| 年代・性別 | 70代・男性 |
|---|---|
| 主訴 | 左上の欠損部の治療希望。右下の義歯が合わない。 |
| 部位 | 左上4、右下76 |
| 治療期間 | 約10ヶ月 |
| 費用 | ¥2,033,500(税込) |
| 副作用・リスク |
|
50代 女性 インプラント治療
| 年代・性別 | 50代・女性 |
|---|---|
| 主訴 | 放置していた欠損部にインプラント治療希望。(義歯いれたくない) |
| 部位 | 左下6 |
| 治療期間 | 約8ヶ月 |
| 費用 | ¥380,600(税込) |
| 副作用・リスク |
|
30代 女性 インプラント治療(GBR・ソケットリフト)
| 年代・性別 | 30代・女性 |
|---|---|
| 主訴 | 縁下まで虫歯が進行し、抜歯へ。カウンセリングし、インプラント希望。 |
| 部位 | 右上7 |
| 治療期間 | 約7ヶ月 |
| 費用 | ¥500,500(税込) |
| 副作用・リスク |
|
60代 男性 インプラント治療
| 年代・性別 | 60代・男性 |
|---|---|
| 主訴 | 欠損で来院し、欠損カウンセリング後インプラント希望。 |
| 部位 | 右下5・左下4、6 |
| 治療期間 | 約8ヶ月 |
| 費用 | ¥1,512,500(税込) |
| 副作用・リスク |
|
60代 女性 インプラント治療
| 年代・性別 | 60代・女性 |
|---|---|
| 主訴 | 歯根破折の為抜歯適応。欠損カウンセリングし、インプラント希望。 |
| 部位 | 右下7 |
| 治療期間 | 約6ケ月 |
| 費用 | ¥530,000(税込) |
| 副作用・リスク |
|
50代 男性 インプラント治療
| 年代・性別 | 50代・男性 |
|---|---|
| 主訴 | 欠損部分にインプラントを考えている。 |
| 部位 | 右上753 |
| 治療期間 | 約9ヵ月 |
| 費用 | ¥225,650(税込) |
| 副作用・リスク |
|
20代 女性 インプラント治療(サイナスリフト)
| 年代・性別 | 20代・女性 |
|---|---|
| 主訴 | 虫歯が進行し抜歯適応。カウンセリングし、インプラント希望。 |
| 部位 | 左上7 |
| 治療期間 | 約7ヶ月 |
| 費用 | ¥527,000(税込) |
| 副作用・リスク |
|
70代 女性 インプラント治療
| 年代・性別 | 70代・女性 |
|---|---|
| 主訴 | 前歯がぐらぐらして抜けそう |
| 部位 | 右上1・左上1 |
| 治療期間 | 約6ヶ月 |
| 費用 | ¥885,600(税込) |
| 副作用・リスク |
|
30代 男性 インプラント治療
| 年代・性別 | 30代・男性 |
|---|---|
| 主訴 | 虫歯が進行し抜歯適応。カウンセリングし、IMP希望。 |
| 部位 | 左下7 |
| 治療期間 | 約7ヶ月 |
| 費用 | ¥530,000(税込) |
| 副作用・リスク |
|
50代 男性 インプラント治療
| 年代・性別 | 50代・男性 |
|---|---|
| 主訴 | 下の前歯がグラグラして噛みにくい。 |
| 部位 | 左下2 |
| 治療期間 | 約5ヶ月 |
| 費用 | ¥389,750(税込) |
| 副作用・リスク |
|
70代 女性 インプラント治療(GBR)
| 年代・性別 | 70代・女性 |
|---|---|
| 主訴 | 抜歯適応になってしまった所にインプラント治療希望。 |
| 部位 | 右上3・5(右上345のブリッジ)、右下6・7 左上4・6(左上456のブリッジ)、左下6・7 |
| 治療期間 | 約14ヶ月 |
| 費用 | ¥3,740,000(税込) |
| 副作用・リスク |
|
50代 女性 奥歯 インプラント治療
| 年代・性別 | 50代・女性 |
|---|---|
| 主訴 | 奥歯の歯がないところに、インプラントを入れて、咬めるようになりたい。 |
| 部位 | 左下⑤6⑦ |
| 治療期間 | 約7ヶ月 |
| 費用 | ¥792,000(税込) |
| 副作用・リスク |
|
50代 男性 奥歯 インプラント治療
| 年代・性別 | 50代・男性 |
|---|---|
| 主訴 | 歯の根っ子が破折していて、抜歯適応になった所にインプラントを入れたい。 |
| 部位 | 左下⑤6⑦ |
| 治療期間 | 約1年2ヶ月 |
| 費用 | ¥1,023,000(税込) |
| 副作用・リスク |
|
40代 男性 奥歯 インプラント治療
| 年代・性別 | 40代・男性 |
|---|---|
| 主訴 | 虫歯が進行して尖がっており、舌に刺さって痛い。インプラントを考えている。 |
| 部位 | 右下7 |
| 治療期間 | 約9ヶ月 |
| 費用 | ¥447,000(税込) |
| 副作用・リスク |
|
30代 女性 奥歯 インプラント治療
| 年代・性別 | 30代・女性 |
|---|---|
| 主訴 | 他院で治療していた歯が抜けた。インプラントを考えている。 |
| 部位 | 左下7 |
| 治療期間 | 約5ヶ月 |
| 費用 | ¥407,000(税込) |
| 副作用・リスク |
|
70代 男性 奥歯 インプラント治療
| 年代・性別 | 70代・男性 |
|---|---|
| 主訴 | 歯がない部分に何か入れたい。入れ歯は嚙めないから嫌だ。IMP気になる。 |
| 部位 | 左上6,7、右下7 |
| 治療期間 | 約6ヶ月 |
| 費用 | ¥1,201,000(税込) |
| 副作用・リスク |
|
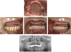
70代 男性 全顎 インプラント治療
| 年代・性別 | 70代・男性 |
|---|---|
| 主訴 | 歯がない部分に何か入れたい。入れ歯は嚙めないから嫌だ。IMP気になる。 |
| 部位 | 右上7,5 、左上4、左下7 |
| 治療期間 | 約5ヶ月 |
| 費用 | ¥1,660,500(税込) |
| 副作用・リスク |
|
80代 女性 全顎 インプラント治療(抜歯即時,GBR)
| 年代・性別 | 80代・女性 |
|---|---|
| 主訴 | 3.4本、歯を入れないといけない箇所がある。IMPも考えているが、良い治療法を教えてほしい。 |
| 部位 | 右上65、左上46 |
| 治療期間 | 約7ヶ月 |
| 費用 | ¥1,795,500(税込) |
| 副作用・リスク |
|
50代 女性 奥歯 インプラント治療(GBR)
| 年代・性別 | 50代・女性 |
|---|---|
| 主訴 | 健康な歯を削らず、治療がしたい。 |
| 部位 | 右下65 |
| 治療期間 | 約1年1ヶ月 |
| 費用 | ¥760,100(税込) |
| 副作用・リスク |
|
50代 女性 前歯 インプラント治療(抜歯即時・GBR)
| 年代・性別 | 50代・女性 |
|---|---|
| 主訴 | 見た目と長い人生の事を考えると、しっかり咬めるインプラントにしたい。 |
| 部位 | 上顎①1② |
| 治療期間 | 約1年2ヶ月 |
| 費用 | ¥1,049,000(税込) |
| 副作用・リスク |
|
40代 男性 奥歯 インプラント治療
| 年代・性別 | 40代・男性 |
|---|---|
| 主訴 | しっかり咬めるようにインプラント治療希望。 |
| 部位 | 右下6、左上56 |
| 治療期間 | 約1年3ヶ月 |
| 費用 | ¥1,023,900(税込) |
| 副作用・リスク |
|
40代 男性 前歯 インプラント治療(抜歯即時+GBR)
| 年代・性別 | 40代・男性 |
|---|---|
| 主訴 | 本物の歯のような見た目がいい。 |
| 部位 | 左上1 |
| 治療期間 | 約5ヶ月 |
| 費用 | ¥483,500(税込) |
| 副作用・リスク |
|
60代 男性 奥歯 インプラント治療(ソケットリフト)
| 年代・性別 | 60代・男性 |
|---|---|
| 主訴 | 歯がないところにインプラントをいれたい。 |
| 部位 | 右上67 |
| 治療期間 | 約8ヶ月 |
| 費用 | ¥951,500(税込) |
| 副作用・リスク |
|
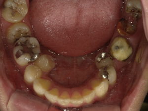
60代 女性 奥歯 インプラント治療
| 年代・性別 | 60代・女性 |
|---|---|
| 主訴 | 放置していた欠損部にインプラント治療希望。(義歯いれたくない) |
| 部位 | 左下④5⑥ |
| 治療期間 | 約12ヶ月 |
| 費用 | ¥944,360(税込) |
| 副作用・リスク |
|
50代 男性 奥歯 インプラント治療(GBR)
| 年代・性別 | 50代・男性 |
|---|---|
| 主訴 | 虫歯が進行してしまい抜歯適応になった所に、インプラント治療を希望。 |
| 部位 | 右下⑥5④ |
| 治療期間 | 約9ヶ月 |
| 費用 | ¥960,000(税込) |
| 副作用・リスク |
|
40代 女性 インプラント治療(GBR)
| 年代・性別 | 40代・女性 |
|---|---|
| 主訴 | 硬いものが咬めなくなってきたため、咬めるようになりたい。 |
| 部位 | 右上⑥5④ 右下6 上顎②11② |
| 治療期間 | 約1年2ヶ月 |
| 費用 | ¥2,099,900(税込) |
| 副作用・リスク |
|
30代 男性 インプラント治療(単純)
| 年代・性別 | 30代・男性 |
|---|---|
| 主訴 | 根尖病巣が大きくなり、抜歯適用になった所にインプラント希望。 |
| 部位 | 右下6 |
| 治療期間 | 約4ヶ月 |
| 費用 | ¥400,700(税込) |
| 副作用・リスク |
|
50代 女性 インプラント治療
| 年代・性別 | 50代・女性 |
|---|---|
| 主訴 | 歯根破折して抜歯になる欠損部にインプラント治療希望。(審美的に気になる、キレイにしたい) |
| 部位 | 左上1 |
| 治療期間 | 約9ヶ月 |
| 費用 | ¥517,000(税込) |
| 副作用・リスク |
|
60代 女性 インプラント治療(単純)
| 年代・性別 | 60代・女性 |
|---|---|
| 主訴 | 抜歯適用の所にインプラントをいれたい。 |
| 部位 | 右下4 左上1 |
| 治療期間 | 約7ヶ月 |
| 費用 | ¥863,500(税込) |
| 副作用・リスク |
|
50代 女性 インプラント治療(単純)
| 年代・性別 | 50代・女性 |
|---|---|
| 主訴 | 抜歯後、インプラントを入れて咬めるようになりたい |
| 部位 | 右上4 |
| 治療期間 | 約8ヶ月 |
| 費用 | ¥352,000(税込) |
| 副作用・リスク |
|
50代 女性 インプラント治療(静脈内鎮静法)
| 年代・性別 | 50代・女性 |
|---|---|
| 主訴 | インプラントを入れて奥歯でしっかり咬めるようになりたい。 |
| 部位 | 左上下7 |
| 治療期間 | 約11ヶ月 |
| 費用 | ¥810,000(税込) |
| 副作用・リスク |
|
60代 男性 インプラント治療
| 年代・性別 | 60代・男性 |
|---|---|
| 主訴 | 保険が利かなくても良いから早くて、最高に良い状態に治してほしい。 |
| 部位 | 左下467 |
| 治療期間 | 約9カ月 |
| 費用 | ¥1,347,000(税込) |
| 副作用・リスク |
|
70代 女性 インプラント治療
| 年代・性別 | 70代・女性 |
|---|---|
| 主訴 | 前歯が動いていて飛んでいきそう |
| 部位 | 左上12 |
| 治療期間 | 約9ヵ月 |
| 費用 | ¥912,500(税込) |
| 副作用・リスク |
|
40代 男性 インプラント治療(GBR、骨隆起除去)
| 年代・性別 | 40代・男性 |
|---|---|
| 主訴 | 抜いた所に何かいれたい。見た目を綺麗にしたい。 |
| 部位 | 右上4 |
| 治療期間 | 約11カ月 |
| 費用 | ¥505,500(税込) |
| 副作用・リスク |
|
50代 女性 インプラント治療
| 年代・性別 | 50代・女性 |
|---|---|
| 主訴 | 歯がないところにIMPをしたい。 |
| 部位 | 左下67 |
| 治療期間 | 約5カ月 |
| 費用 | ¥699,000(税込) |
| 副作用・リスク |
|
50代 男性 インプラント治療
| 年代・性別 | 50代・男性 |
|---|---|
| 主訴 | 歯がない所にIMPを入れたい。 |
| 部位 | 右下567 |
| 治療期間 | 約5カ月 |
| 費用 | ¥1,011,000(税込) |
| 副作用・リスク |
|
20代 男性 インプラント治療
| 年代・性別 | 20代・男性 |
|---|---|
| 主訴 | 抜歯適応になり、Cs後IMP希望。 |
| 部位 | 右上6 |
| 治療期間 | 約8カ月 |
| 費用 | ¥525,000(税込) |
| 副作用・リスク |
|
50代 インプラント治療(右上3左上3のみGBR)
| 年代・性別 | 50代・男性 |
|---|---|
| 主訴 | 入れ歯が合わず毎日ヨーグルトしか食べることができないので、しっかり咬めるインプラントにしたい。 |
| 部位 | 右下⑦⑥5④ 上顎③2①①2③ 左下67 |
| 治療期間 | 約9ヶ月 |
| 費用 | ¥4,273,500(税込) |
| 副作用・リスク |
|
インプラント治療(左上5ソケット・GBR 右上2左上13GBR)
| 年代・性別 | 50代・男性 |
|---|---|
| 主訴 | 入れ歯だと咬めなくてつらい。 |
| 部位 | 上顎②1①2③4⑤Br |
| 治療期間 | 約9ヶ月 |
| 費用 | ¥1,794,100(税込) |
| 副作用・リスク |
|
50代 男性 インプラント治療
| 年代・性別 | 50代・男性 |
|---|---|
| 主訴 | 歯のない所にインプラントをいれたい。 |
| 部位 | 右下⑤6⑦ |
| 治療期間 | 約9ヶ月 |
| 費用 | ¥801,500(税込) |
| 副作用・リスク |
|
30代 女性 インプラント治療(鎮静療法)
| 年代・性別 | 30代・女性 |
|---|---|
| 主訴 | 口腔内かなり状態悪く、これから先しっかり噛んで食事ができるようにインプラントを入れたい。 |
| 部位 | 左上3,5,7、右下5 |
| 治療期間 | 約11ヶ月 |
| 費用 | ¥2,145,000(税込) |
| 副作用・リスク |
|
60代 女性 インプラント治療(鎮静療法あり)
| 年代・性別 | 60代・女性 |
|---|---|
| 主訴 | 歯がないところがあるので、インプラントをいれたい。 |
| 部位 | 右上67 |
| 治療期間 | 約7ヶ月 |
| 費用 | ¥815,000(税込) |
| 副作用・リスク |
|
40代 男性 インプラント治療(単純)
| 年代・性別 | 40代・男性 |
|---|---|
| 主訴 | 抜歯後、入れ歯は嫌なのでインプラントにしたい。 |
| 部位 | 右上6 |
| 治療期間 | 約6ヶ月 |
| 費用 | ¥447,000(税込) |
| 副作用・リスク |
|
20代 女性 インプラント治療(ソケット)
| 年代・性別 | 20代・女性 |
|---|---|
| 主訴 | 根尖病巣が大きく、抜歯適応になってしまった所にインプラント希望。 |
| 部位 | 右上6 |
| 治療期間 | 約10ヶ月 |
| 費用 | ¥527,000(税込) |
| 副作用・リスク |
|
60代 女性 インプラント治療(単純)
| 年代・性別 | 60代・女性 |
|---|---|
| 主訴 | 入れ歯は嫌なので、インプラントを入れたい。 |
| 部位 | 右下76 左下⑤6⑦ |
| 治療期間 | 約5ヶ月 |
| 費用 | ¥1,425,000(税込) |
| 副作用・リスク |
|
20代 女性 インプラント治療(単純)
| 年代・性別 | 20代・女性 |
|---|---|
| 主訴 | 根っ子が折れてしまい、抜歯適応となった所にインプラント治療希望。 |
| 部位 | 左上6 |
| 治療期間 | 約8ヶ月 |
| 費用 | ¥465,000(税込) |
| 副作用・リスク |
|
40代 女性 インプラント治療(右上64サイナス・GBR)
| 年代・性別 | 40代・女性 |
|---|---|
| 主訴 | 歯周病が進行し、抜歯適応となってしまったところにインプラント治療希望。 |
| 部位 | 右上⑥5④3② |
| 治療期間 | 約1年4ヶ月 |
| 費用 | ¥1,121,000(税込) |
| 副作用・リスク |
|
50代 女性 インプラント治療(単純)
| 年代・性別 | 50代・女性 |
|---|---|
| 主訴 | ブリッジの下に虫歯があり予後が悪いため、抜歯をしてインプラントにしたい。 |
| 部位 | 右下⑦6⑤ |
| 治療期間 | 約5ヶ月 |
| 費用 | ¥1,066,000(税込) |
| 副作用・リスク |
|
70代 女性 インプラント治療
| 年代・性別 | 70代・女性 |
|---|---|
| 主訴 | 義歯を入れているが、義歯入れずに生活したい。 |
| 部位 | 左下56 |
| 治療期間 | 約10ヶ月 |
| 費用 | ¥929,500(税込) |
| 副作用・リスク |
|
60代 男性 インプラント治療(単純)
| 年代・性別 | 60代・男性 |
|---|---|
| 主訴 | 歯が抜けたところにインプラントを入れて咬めるようになりたい。 |
| 部位 | 左下5 |
| 治療期間 | 約4ヶ月 |
| 費用 | ¥449,700(税込) |
| 副作用・リスク |
|
60代 女性 インプラント治療(サイナス)
| 年代・性別 | 60代・女性 |
|---|---|
| 主訴 | 歯を抜いたところにインプラントを入れたい。 |
| 部位 | 右上4、6(右上⑥5④Br) |
| 治療期間 | 約8ヶ月 |
| 費用 | ¥1,165,000(税込) |
| 副作用・リスク |
|
50代 男性 インプラント治療(サイナス、笑気)
| 年代・性別 | 50代・男性 |
|---|---|
| 主訴 | 抜歯適用の所にインプラントをいれたい。食事おいしく楽しみたい |
| 部位 | 左上④5⑥ |
| 治療期間 | 約11ヶ月 |
| 費用 | ¥1,201,000(税込) |
| 副作用・リスク |
|
40代 女性 インプラント治療(単純)
| 年代・性別 | 40代・女性 |
|---|---|
| 主訴 | 歯を抜いたところにインプラントを入れたい。 |
| 部位 | 右下7 |
| 治療期間 | 約5ヶ月 |
| 費用 | ¥429,000(税込) |
| 副作用・リスク |
|
40代 男性 インプラント治療(GBR)
| 年代・性別 | 40代・男性 |
|---|---|
| 主訴 | 根っ子が膿んでしまった歯を抜歯して、インプラント治療希望。 (予後悪いため) |
| 部位 | 右上6 |
| 治療期間 | 約1年 |
| 費用 | ¥612,000(税込) |
| 副作用・リスク |
|



