診察のご予約
お問い合わせ
0120-4618-50
診療時間 月・火:9:00~18:00(昼休みなし) 木~土:9:00~17:00(昼休みなし)
休診日 水曜日、日曜日、祝日

大阪モノレール南摂津駅から徒歩3分の歯医者、さきがけ歯科クリニック

詰め物・被せ物症例

インターネット初診予約
インターネット問診票

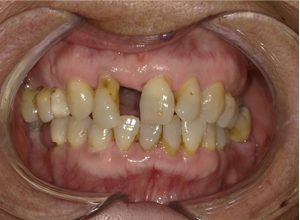
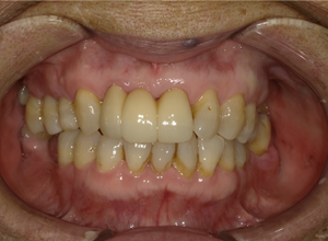
60代 女性 前歯 被せ物(e-max)

年代・性別 60代・女性
治療回数 5回
治療期間 2ヶ月
メリット
  • 透明感があり、審美性が高い。
  • 自然な色味を出せる。
  • 変色・着色しない。
  • 細菌(プラーク)が付きにくい。
  • 摩耗に強い。
  • 金属アレルギーにならない。
  • 前歯部に特にお勧め
デメリット
  • かなり強い衝撃で割れることがある。
  • 金属コアには対応できない。
  • ブリッジは対応できない。
料金 ¥100,000(税込)
特徴
  • 5年保証加入可能
副作用 なし

40代 女性 奥歯 詰め物(ピュアパールステイン)

年代・性別 40代・女性
治療回数 3回
治療期間 1か月半
メリット
  • 強度があり、丈夫。
  • 細菌(プラーク)が付きにくい。
  • 金属アレルギーにならない。
デメリット
  • ステインが無いので立体感が少ない。
  • 前歯には不向き。
料金 ¥80,000(税込)
特徴
  • 5年保証加入可能
副作用 なし

初診限定WEB予約はこちら

初診限定WEB予約はこちら

検診・歯石取り・歯のクリーニング・フッ素塗布などもご予約いただけます。3ヶ月先のご予約もお気軽にどうぞ。

0120-4618-50
06-6827-4618

患者様専用業者様はお電話なさらないようにお願いします。

診療時間

           
9:00~18:00
(昼休みなし)
9:00~17:00
(昼休みなし)

休診日:水曜日、日曜日、祝日

スタッフ募集中

スタッフ募集中

当院では一緒に成長しあえるメンバーを募集しています!

0120-4618-50
06-6827-4618

患者様専用業者様はお電話なさらないようにお願いします。

電話をかける